top of page
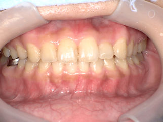
症例1 中等度~重度の叢生 インビザライン治療 品川区五反田在住30代女性
【治療前】

Ovalcourt Dental Office

Ovalcourt Dental Office

Ovalcourt Dental Office
正面 下顎 上顎
30代女性の症例です。
上下の前歯の数本の歯にねじれがある、上前歯のでっぱり感が気になるとのことでした。
また、下の前歯の前後の凸凹が気になるとのことです。
出っ歯に見られる前歯にコンプレックスを感じてらっしゃったとの ことで、見えない矯正のインビザライン矯正で治療しました。
【治療後】

Ovalcourt Dental Office

Ovalcourt Dental Office

Ovalcourt Dental Office
正面 下顎 上顎
インビザライン治療は、矯正装置(アライナー)の適切な装着、決められた時間をしっかり装着することが成功への近道です。
装着方法や装着時間が適切でない場合、計画通りに歯が移動しない可能性があります。
治療期間:約12か月
費用:80万円
症例2 軽度の叢生 インビザライン治療 品川区大崎在住10代女性
【治療前】

Ovalcourt Dental Office
Ovalcourt Dental Office


Ovalcourt Dental Office
Ovalcourt Dental Office
正面 下顎 上顎
10代女性の症例です。
上の前歯が前に出 ていて、真ん中に若干の隙間がある、真ん中の左右の上の歯の切縁の高さが違う、上下とも前歯がデコボコに生えている、など、いわゆる「叢生(そうせい)」があります。
前歯の左右の非対称な箇所がとても気になっており、ワイヤー矯正も考えたそうですが見た目の問題や、歯磨きのしにくさ、装置の違和感など考えると踏み切れなかったそうです。
今回見えない矯正のインビザライン矯正で治療しました。
【治療後】

Ovalcourt Dental Office

Ovalcourt Dental Office

Ovalcourt Dental Office
正面 下顎 上顎
インビザライン治療は、矯正装置(アライナー)の適切な装着、決められた時間をしっかり装着することが成功への近道です。
装着方法や装着時間が適切でない場合、計画通りに歯が移動しない可能性があります。
治療期間:約1年(追加アライナー作成あり)
費用:80万円
症例3 軽度の叢生 インビザライン治療 品川区大崎在住30代女性
【治療前】
.png)
Ovalcourt Dental Office
.png)
Ovalcourt Dental Office
.png)
Ovalcourt Dental Office
正面 下顎 上顎
30代女性の症例です。
前歯に若干の隙間があるのと、真ん中から数えて左右の上2番目の歯の切縁の高さが違う、上下とも上から見て、前歯がデコボコに生えている、いわゆる「叢生(そうせい)」が気になります。
上記の箇所、コンプレックスを感じてらっしゃったとのことで、見えない矯正のインビザライン矯正で治療しました。
【治療後】
Ovalcourt Dental Office

Ovalcourt Dental Office

Ovalcourt Dental Office

Ovalcourt Dental Office
正面 下顎 上顎
インビザライン治療は、矯正装置(アライナー)の適切な装着、決められた時間をしっかり装着することが成功への近道です。
装着方法や装着時間が適切でない場合、計画通りに歯が移動しない可能性があります。
治療期間:約12ヶ月(追加アライナー2回作成)
費用:50万円
症例4 下顎の叢生 インビザライン治療 品川区大崎在住30代男性
【治療前】

Ovalcourt Dental Office

Ovalcourt Dental Office

Ovalcourt Dental Office
正面 下顎 上顎
30代男性の症例です。
下顎前歯のスペースがなく、でこぼこ(叢生)になってしまっています。
上記の箇所、長年コンプレックスを感じてらっしゃったとのことです。
通常であれば抜歯も検討されるケースですが、できれば抜歯はしたくないとのことでしたので、見えない矯正のインビザライン矯正で、非抜歯にて進めることになりました。
【治療後】
.jpg)
Ovalcourt Dental Office
_edited_edited.jpg)
Ovalcourt Dental Office
_edited_jp.jpg)
Ovalcourt Dental Office
正面 下顎 上顎
インビザライン治療は、矯正装置(アライナー)の適切な装着、決められた時間をしっかり装着することが成功への近道です。
マウスピースをしっかり1日20時間以上装着していただいた結果、非抜歯にて計画通り動かすことができました。
治療期間:約11か月(追加アライナー作成なし)
費用:80万円
症例5 上下顎前歯の叢生 インビザライン治療 品川区五反田在住30代女性
【治療前】
.jpg)
Ovalcourt Dental Office
.jpg)
Ovalcourt Dental Office
.jpg)
Ovalcourt Dental Office
正面 下顎 上顎
30代女性の症例です。
上顎前歯の一番目立つ箇所が、前後的なでこぼこ(叢生)になってしまっています。
上記の箇所、長年コンプレックスを感じてらっしゃったとのことです。
また、下顎の前歯にも軽度の叢生がみられます。
通常であれば抜歯も検討 されるケースですが、できれば抜歯はしたくないとのことでしたので、見えない矯正のインビザライン矯正で、非抜歯にて進めることになりました。
【治療後】

Ovalcourt Dental Office
Ovalcourt Dental Office

Ovalcourt Dental Office

Ovalcourt Dental Office
正面 下顎 上顎
インビザライン治療は、矯正装置(アライナー)の適切な装着、決められた時間をしっかり装着することが成功への近道です。
マウスピースをしっかり1日20時間以上装着していただいた結果、非抜歯にて計画通り動かすことができました。
治療期間:約6か月(追加アライナー1回作成)
費用:50万円
症例6 上下顎前歯の叢生 インビザライン治療 品川区五反田在住40代女性
【治療前】
.jpg)
Ovalcourt Dental Office
40代女性の症例です。
下顎左側前歯が、前後上下的なでこぼこ(叢生)で空隙になってしまっています。
上記の箇所、長年コンプレックスを感じてらっしゃったとのことです。
また、上下顎の正中がずれています。
できれば抜歯はしたくないとのことでしたので、見えない矯正のインビザライン矯正で、非抜歯にて進めることになりました。
【治療後】

Ovalcourt Dental Office
インビザライン治療は、矯正装置(アライナー)の適切な装着、決められた時間をしっかり装着することが成功への近道です。
マウスピースをしっかり1日20時間以上装着していただいた結果、非抜歯にて計画通り動かすことができました。
治療期間:約8か月(追加アライナー1回作成)
費用:50万円
症例7 上下顎の軽度の叢生 インビザライン治療 品川区五反田在住40代女性
【治療前】
.png)
Ovalcourt Dental Office
.png)
Ovalcourt Dental Office
.png)
Ovalcourt Dental Office
正面 下顎 上顎
40代女性の症例です。
下顎の左右奥から3番目の奥歯が、内側に倒れこみ、でこぼこ(叢生)になってしまっています。
正面から見たときに、左側に比べ、右側が内側にくぼんで見えてしまっている事、非対称性に悩まれていました。
また、下顎の前歯にも軽度の叢生がみられます。
見えない矯正のインビザライン矯正で、非抜歯にて進めることになりました。
【治療後】
Ovalcourt Dental Office
Ovalcourt Dental Office
Ovalcourt Dental Office
正面 下顎 上顎



Ovalcourt Dental Office
Ovalcourt Dental Office
Ovalcourt Dental Office
インビザライン治療は、矯正装置(アライナー)の適切な装着、決められた時間をしっかり装着することが成功への近道です。
マウスピースをしっかり1日20時間以上装着していただいた結果、非抜歯にて計画通り動かすことができました。
治療期間:約6か月(追加アライナー1回作成)
費用:50万円
症例8 上下顎の軽度の叢生 インビザライン治療 品川区大崎在住40代女性
【治療前】
.png)
Ovalcourt Dental Office
.png)
Ovalcourt Dental Office
.png)
Ovalcourt Dental Office
正面 下顎 上顎
40代女性の症例です。
上顎の前歯が回転しており、でこぼこ(叢生)になってしまっています。
正面から見たときに、奥歯で噛んでも上下に隙間ができてしまうのと、左右の非対称性に悩まれていました。
また、下顎の前歯にも軽度の叢生がみられます。
見えない矯正のインビザライン矯正で、非抜歯にて進めることになりました。
【治療後】
Ovalcourt Dental Office
正面 下顎 上顎



Ovalcourt Dental Office
Ovalcourt Dental Office
Ovalcourt Dental Office
インビザライン治療は、矯正装置(アライナー)の適切な装着、決められた時間をしっかり装着することが成功への近道です。
マウスピースをしっかり1日20時間以上装着していただいた結果、非抜歯にて計画通り動かすことができました。
治療期間:約12か月(追加アライナー2回作成)
費用:80万円
症例9 軽度の叢生 インビザライン治療 品川区大崎在住10代女性
【治療前】
Ovalcourt Dental Office
Ovalcourt Dental Office
正面 下顎 上顎
.png)
.png)
.png)
Ovalcourt Dental Office
Ovalcourt Dental Office
Ovalcourt Dental Office
10代女性の症例です。
上下の前歯がデコボコに生えている、いわゆる「叢生(そうせい)」が気になるとのことでした。
特に右上の側切歯、右下の犬歯が気になるとのことです。
以前から前歯デコボコにコンプレックスを感じてらっしゃったとのことで、見えない矯正のインビザライン矯正で治療しました。
【治療後】

Ovalcourt Dental Office

Ovalcourt Dental Office

Ovalcourt Dental Office
正面 下顎 上顎
インビザライン治療は、矯正装置(アライナー)の適切な装着、決められた時間をしっかり装着することが成功への近道です。
装着方法や装着時間が適切でない場合、計画通りに歯が移動しない可能性があります。
治療期間:約8か月(追加アライナー1回作成)
費用:50万円
症例10 軽度の叢生 インビザライン治療 品川区五反田在住20代女性
【治療前】
Ovalcourt Dental Office
.png)
Ovalcourt Dental Office
.png)
Ovalcourt Dental Office
Ovalcourt Dental Office
.png)
Ovalcourt Dental Office
正面 下顎 上顎
20代女性の症例です。
上下の前歯がデコボコに生えている、いわゆる「叢生(そうせい)」が気になるとのことでした。
特に左上の中切歯の捻じれ、下の前歯と上下の奥歯の凸凹が気になるとのことです。
出っ歯に見られる前歯にコンプレックスを感じてらっしゃったとのことで、見えない矯正のインビザライン矯正で治療しました。
【治療後】

Ovalcourt Dental Office

Ovalcourt Dental Office

Ovalcourt Dental Office
正面 下顎 上顎
インビザライン治療は、矯正装置(アライナー)の適切な装着、決められた時間をしっかり装着することが成功への近道です。
装着方法や装着時間が適切でない場合、計画通りに歯が移動しない可能性があります。
治療期間:約3か月
費用:50万円
症例11 軽度の叢生 インビザライン治療 品川区大崎在住20代女性
【治療前】
.png)
Ovalcourt Dental Office
.png)
Ovalcourt Dental Office
Ovalcourt Dental Office
.png)
Ovalcourt Dental Office
正面 下顎 上顎
20代女性の症例です。
上の前歯の真ん中に隙間がある、いわゆる「正中離開(せいちゅうりかい)」が気になるとのことでした。
隙間と共に、左右中切歯の捻じれ、下の前歯の凸凹が気になるとのことです。
すきっ歯、出っ歯に見られる前歯にコンプレックスを感じてらっしゃったとのことで、見えない矯正のインビザライン矯正で治療しました。
【治療後】

Ovalcourt Dental Office

Ovalcourt Dental Office

Ovalcourt Dental Office
正面 下顎 上顎
インビザライン治療は、矯正装置(アライナー)の適切な装着、決められた時間をしっかり装着することが成功への近道です。
装着方法や装着時間が適切でない場合、計画通りに歯が移動しない可能性があります。
治療期間:約11か月
費用:80万円
症例12 軽度の叢生 インビザライン治療 品川区大崎在住30代女性
【治療前】

Ovalcourt Dental Office

Ovalcourt Dental Office

Ovalcourt Dental Office
正面 下顎 上顎
30代女性の症例です。
上の前歯の真ん中の歯にねじれがある、でっぱり感が気になるとのことでした。
また、下の前歯の前後の凸凹が気になるとのことです。
出っ歯に見られる前歯にコンプレックスを感じてらっしゃったとのことで、見えない矯正のインビザライン矯正で治療しました。
【治療後】

Ovalcourt Dental Office

Ovalcourt Dental Office

Ovalcourt Dental Office
正面 下顎 上顎
インビザライン治療は、矯正装置(アライナー)の適切な装着、決められた時間をしっかり装着することが成功への近道です。
装着方法や装着時間が適切でない場合、計画通りに歯が移動しない可能性があります。
治療期間:約6か月
費用:50万円
症例13 軽度の叢生 インビザライン治療 品川区五反田在住20代女性
【治療前】

Ovalcourt Dental Office

Ovalcourt Dental Office

Ovalcourt Dental Office
正面 下顎 上顎
20代女性の症例です。
上の前歯に若干の隙間があるのと、上下とも前歯がデコボコに生えている、いわゆる「叢生(そうせい)」が気になります。
以前から前歯デコボコにコンプレックスを感じてらっしゃったとのことで、見えない矯正のインビザライン矯正で治療しました。
【治療後】
.jpg)
Ovalcourt Dental Office
_edited.jpg)
Ovalcourt Dental Office
.jpg)
Ovalcourt Dental Office
正面 下顎 上顎
インビザライン治療は、矯正装置(アライナー)の適切な装着、決められた時間をしっかり装着することが成功への近道です。
装着方法や装着時間が適切でない場合、計画通りに歯が移動しない可能性があります。
治療期間:約3か月(追加アライナー作成なし)
費用:30万円
症例14 軽度の叢生 インビザライン治療 品川区大崎在住20代女性
【治療前】
.jpg)
Ovalcourt Dental Office
.jpg)
Ovalcourt Dental Office
.jpg)
Ovalcourt Dental Office
正面 下顎 上顎
20代女性の症例です。
左の前歯噛み合わせ時に若干の隙間がある、真ん中から数えて左右の上2番目の歯の切縁の高さが違う、上下とも前歯がデコボコに生えている、など、いわゆる「叢生(そうせい)」があります。
前歯の左右の非対称な箇所がとても気になっており、ワイヤー矯正も考えたそうですが見た目の問題や、歯磨きのしにくさ、装置の違和感など考えると踏み切れなかったそうです。
今回見えない矯正のインビザライン矯正で治療しました。
【治療後】

Ovalcourt Dental Office

Ovalcourt Dental Office

Ovalcourt Dental Office
正面 下顎 上顎
インビザライン治療は、矯正装置(アライナー)の適切な装着、決められた時間をしっかり装着することが成功への近道です。
装着方法や装着時間が適切でない場合、計画通りに歯が移動しない可能性があります。
治療期間:約2か月半(追加アライナー作成なし)
費用:30万円
症例15 上下顎の叢生 インビザライン治療 品川区大崎在住30代女性
【治療前】

Ovalcourt Dental Office

Ovalcourt Dental Office

Ovalcourt Dental Office
正面 下顎 上顎
30代女性の症例です。
上下顎前歯のスペースがなく、でこぼこ(叢生)になってしまっています。
上記の箇所、長年コンプレックスを感じてらっしゃったとのことです。
通常であれば抜歯も検討されるケースですが、できれば抜歯はしたくないとのことでしたので、見えない矯正のインビザライン矯正で、非抜歯にて進めることになりました。
【治療後】
Ovalcourt Dental Office

Ovalcourt Dental Office
Ovalcourt Dental Office

Ovalcourt Dental Office

Ovalcourt Dental Office
正面 下顎 上顎
インビザライン治療は、矯正装置(アライナー)の適切な装着、決められた時間をしっかり装着することが成功への近道です。
マウスピースをしっかり1日20時間以上装着していただいた結果、非抜歯にて計画通り動かすことができました。
治療期間:約12か月(追加アライナー作成あり)
費用:80万円
症例16 上下顎の叢生 インビザライン治療 品川区五反田在住40代男性
【治療前】

Ovalcourt Dental Office

Ovalcourt Dental Office

Ovalcourt Dental Office
正面 下顎 上顎
40代男性の症例です。
上下顎前歯のスペースがなく、でこぼこ(叢生)になってしまっています。また上下反対に交叉しているところがあります。
上記の箇所、長年コンプレックスを感じてらっしゃったとのことです。
通常であれば抜歯も検討されるケースですが、できれば抜歯はしたくないとのことでしたので、見えない矯正のインビザライン矯正で、非抜歯にて進めることになりました。
【治療後】


Ovalcourt Dental Office
Ovalcourt Dental Office

Ovalcourt Dental Office
正面 下顎 上顎
インビザライン治療は、矯正装置(アライナー)の適切な装着、決められた時間をしっかり装着することが成功への近道です。
マウスピースをしっかり1日20時間以上装着していただいた結果、非抜歯にて計画通り動かすことができました。
治療期間:約11か月(追加アライナー作成なし)
費用:80万円
症例17 上下顎の叢生インビザライン治療 品川区五反田在住40代女性
【治療前】


Ovalcourt Dental Office
Ovalcourt Dental Office

.jpg)



